Namibia’s depressed economy, high unemployment rate, poverty and propensity for outbreaks of diseases are some of the challenges citizens and officials face daily.
Covid kills 4 060 Namibians in two years
In July, the Namibia government removed all restrictions imposed on account of Covid-19 but requested citizens to voluntarily comply with public health and social measures as well as ensure that good hand hygiene becomes part of the new normal.
Opinion – Pain and depression: Menstruation effects
“It must be nice to be God’s favourite” is a statement that I will often hear when ‘it’s that time of the month’. Unlike many of my friends and over 70% of women who experience Dysmenorrhea globally, I don’t have painful periods.
Omaheke hospitals, clinics upgraded…fills vacant health positions
Omaheke has upgraded its hospitals and clinics to support planned and routine care to ensure all patients are safe and receive professional treatment.
Focus on Hepatitis B
While Namibia rejoices in the victory won over the eradication of Hepatitis E, guards should not be let down as the country continues to experience the wrath of Hepatitis B, a deadly virus that medical experts feel is being ignored.
Hard-to-reach populations assisted
Namibian truck driver Petrus Katangolo appreciates the Walvis Bay Corridor Group (WBCG) roadside wellness clinics, which provides assistance when he falls ill while on duty.
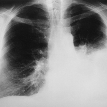
Fighting tooth and nail to see another day…a mother’s struggle with lung lupus
From actively playing volleyball for the country’s national team, being energetic and travelling, Ruusa Kamwi’s world was partially shattered when she was diagnosed with lung lupus, a condition she says became known only after 11 years of ill health.
Good nutrition for health
Despite the importance of nutrition, many people find it difficult to maintain healthy eating habits because, let’s face it, life is expensive.
Opinion – Nutrition – a health priority
The nutrition situation in Namibia indicates high rates of malnutrition in children under the age of five, low breastfeeding rates of babies under six months and increasing rates of persons over the age of 25 years, who have non-communicable diseases such as hypertension, obesity and diabetes type 2.
Physiotherapists are essential
South African-based Namibian goalkeeper Loydt Kazapua has praised physiotherapy for getting him back into competitive shape after suffering a tibia injury in March 2014.









